Study reveals the basic neurobiology of how psychedelics work at the chemical, molecular, neural, and network levels within the brain.
What a long, strange trip it’s been for psychedelic drugs. From their use in ancient indigenous ceremonies, to their often-caricatured association with the 1960s counterculture, to their recent reemergence as a potential therapeutic, hallucinogens have been embraced by very different communities for very different reasons. But scientists have never fully understood how these drugs actually work on the brain.
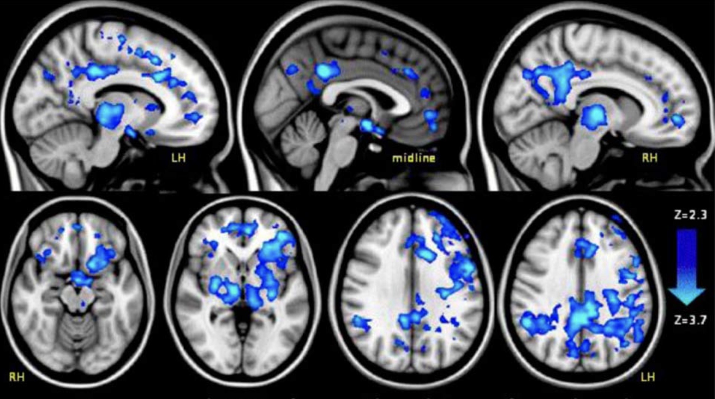
Alex Kwan, Ph.D. ’09, associate professor in the Meinig School of Biomedical Engineering in the College of Engineering, is using optical microscopy and other tools to map the brain’s neural response to these psychoactive chemicals, an approach that could eventually lead to the development of fast-acting antidepressants and treatments for substance -use disorders and cluster headaches. We know more about the pharmacology, how psychdedelics work at the structural level, interacting with the brain receptors. But there has been a big void in terms of understanding what they do to the brain itself, at the neural circuit level,” Kwan said. “There’s a chain of events that happen that ultimately lead to acute and longer-lasting behavioral changes that might be useful for treatment. But in between a lot of that is a black box.”
Despite the renewed interest in the benefits of psychedelics from popular figures such as environmentalist and author Michael Pollan, much of the research into these drugs was conducted in the 1950s and 60s with fairly rudimentary methods, Kwan said. In an effort to synthesize the disparate scientific information and bring it up to date, Kwan and a team of collaborators authored a review paper, “The Neural Basis of Psychedelic Action,” published Oct. 24 in Nature Neuroscience, that explains the basic neurobiology of how psychedelic drugs work at the chemical, molecular, neuronal and network levels, and raises topics for future exploration, such as the impact of compound psychedelics on different types of brain cells.
Kwan’s research primarily focuses on psilocybin, the active ingredient in so-called magic mushrooms. As psilocybin is already being tested in Phase II clinical trials, it is the most promising candidate for pharmaceutical development. Kwan’s lab is also looking at other compounds, such as 5-methoxy-N,N-dimethyltryptamine (5-MeO-DMT), which is exuded by the glands of the Sonoran Desert Toad as a defense mechanism.
“I think one of the fascinating things about this topic is that there’s thousands of different variants and analogs of these chemicals,” Kwan said. “The reason we study the different ones is because they vary slightly differently in their properties in terms of how they bind to different brain receptors. So it gives us a very fine tune knob. We can modify the chemical structure to see what it does to the brain differentially.”
As psilocybin is already being tested in Phase II clinical trials, it is the most promising candidate for pharmaceutical development. Just as the science has evolved, so have the tools. The new techniques at Kwan’s disposal include two-photon microscopy, viral tracing and optogenetic manipulations, in which the activity of neurons can be controlled with light – all of which can be used to target functional neurons in the cortical and subcortical regions of a living mouse’s brain.
It was the development of these tools at Cornell that brought Kwan back to his alma mater in 2021 after spending the last nine years in the Yale School of Medicine. “Scientists used to put electrodes in a rat’s brain, and they would record one neuron at a time. But since then, the field of neuroscience has progressed tremendously,” Kwan said. “Now we have ways to record not one neuron, but tens of thousands. We have ways of controlling neural activity. We have much more rigorous methods to measure animal behavior.
In research published last year in Neuron, Kwan used two-photon microscopy to show that a single dose of psilocybin increased the number of neuronal connections in a mouse brain by about 10%. That finding generated a number of follow-up questions – why are new neuronal connections being created, which pathways are strengthened and do these changes underlie psilocybin’s therapeutic effects? – which Kwan now plans to explore.
“If you know what pathways are involved, you might then start to use this as a marker to find some new drugs for drug discovery,” Kwan said. “The other thing that we’re quite excited about is that if you know what pathways are targeted by these drugs, you could also potentially stimulate those pathways in conjunction with a psychedelic to potentiate the drug’s effects.”
adapted from a article in the Cornell Chronicle by David Nutt, “Microscopy reveals how psychedelics light up brain’s neuropathways” on 24 October 2022. Primary source, “The Neural Basis of Psychedelic Action”, was published 24 October 2022 in Nature Neuroscience
